Search:

AMBMC
Model
BasalGanglia
Cerebellum
Cortex
Hippocampus Diencephalon

Human7T
MP2RAGE
QSM
TSE
PETRA

Human7T » MP2RAGE

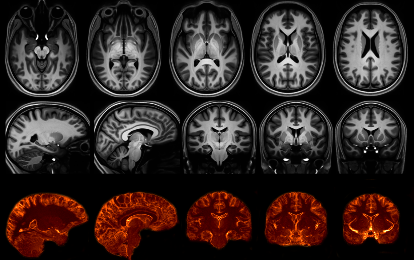
MP2RAGE T1-weighted average 7T model

View online and download the model in MINC or NiFTI format here:

MP2RAGE model

   mp2rageModel_L13_work03-plus-hippocampus-7T-sym-norm-mincanon_v0.8 [  View model online  | Download mnc (1074 MB) | Download nii (1465 MB) ]

Citing this model:

Bollmann, Steffen, Andrew Janke, Lars Marstaller, David Reutens, Kieran O’Brien, and Markus Barth. “MP2RAGE T1-weighted average 7T model” January 1, 2017. doi:10.14264/uql.2017.266

References describing this model:

Janke AL, O'Brien K, Bollmann S, Kober T, Marstaller L, Barth M. A 7T Human Brain Microstructure Atlas by Minimum Deformation Averaging at 300um. In 24th Annual ISMRM Scientific Meeting and Exhibition, Singapore.

Acquisition details

MP2RAGE: 48 (16 female, 31.1±8.6yr) individuals were imaged using a prototype MP2RAGE sequence with a range of resolutions: 0.5mm (18 indiv.), 0.75mm (21), 1.0mm (8) and 1.3mm (1). TR= 4330ms, TI1/TI2=750/2370ms, TE=2.8ms, flip angle=5,6, and GRAPPA = 3. The image matrix was typically 256x300x320 or 420x378x288 but was dependent upon coverage and FOV. The MP2RAGE denoised images [6, 7] were intensity-normalised using a histogram clamping technique.

6. O'Brien, Kieran R., et al. "Robust T1-Weighted Structural Brain Imaging and Morphometry at 7T Using MP2RAGE." (2014): e99676.
7. O'Brien, Kieran R., et al. "Dielectric pads and low‐B1+ adiabatic pulses: Complementary techniques to optimize structural T1w whole brain MP2RAGE

© 2018 The National Imaging Facility, Authorised by: Director Maintained by: andrew.janke@uq.edu.au